Thumbs out
![]()
Habit management
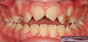
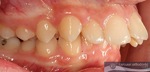
Persistent thumbsucking in children is a serious issue that can lead to the development of complex orthodontic problems including open-bites and cross-bites with associated speech and swallowing disorders.
Thumb or finger sucking that persists after the age of 4 ½ years can change the growth patterns of the jaws and cause significant alignment problems of the front adult teeth as they erupt into the mouth. Although orthodontic or surgical treatment can correct these problems, it is better to prevent them from occurring in the first place by eliminating the habit early. This can be a challenge, however there are numerous effective strategies that can assist in helping a child break their habit.


In many cases, children will quit damaging oral habits almost immediately if they are simply encouraged to do so by a “doctor” or someone with some authority on the matter. This modest step can often carry more psychological weight than the constant nagging of mum or dad. A mature discussion from an Orthodontist with the appropriate visual aids about how they are hurting and embarrassing themselves by continuing such behaviour is frequently enough motivation to convince a child to really try to break their habit. This simple professional consultation followed by a behaviour modification approach is the first and most basic strategy that works in most cases.
As Orthodontists, we are in a unique position of being able to provide scientifically proven and effective habit management solutions when a simple behavioural approach fails. In addition, once the habit is eventually broken, we can provide the necessary corrective treatment for bad bites and crooked teeth that are the unfortunate consequence of long-term habits. We are stockists for Australian made Thumbs Out thumbguards and can install custom made fixed intraoral anti-habit appliances for the older, really serious thumbsuckers who have failed all other non-invasive therapies.
![]()

Corrective treatment
Unfortunately many of the dental and jaw development problems that are caused by persistent oral habits do not spontaneously correct once the habit stops. The older the child is when they quit, the more difficult it is to “undo” the damage caused. Therefore, once children have managed to kick their long-term sucking habit it is likely that they will then require some form of corrective orthodontic treatment. Just as the initial dental problems caused by oral habits are related to the softness and pliability of young and immature jaws, it is important that any corrective treatment is also carried out in in younger children who still have growing jaws. We are able to offer the full spectrum of customised orthodontic appliances to manage open bites, crossbites, protruding teeth, crooked teeth and any other issues that remain once the habit has stopped. Each patient has unique treatment requirements based on their age and the type and severity of their problems so a consultation is essential to determine the best treatment strategy.
For more information on Thumbsucking and Thumbguards visit our partner’s website.


